

作 者
邓权通
深圳市人民医院
副主任医师,肿瘤学硕士
广东省医学会肿瘤分会青年委员
广东省药学会肿瘤精准诊疗专委会委员
深圳市抗癌协会肿瘤化疗专业委员会委员
深圳市抗癌协会肿瘤靶向治疗与个体化治疗专业委员会委员
深圳市医师协会乳腺专科医师分会理事
深圳市健康管理协会肿瘤多学科(MDT)防诊治专业委员会乳腺癌青年学组委员
中国肿瘤防治联盟深圳市胃肠肿瘤专业委员会常委
病例详情

病例点评
点评嘉宾
贺 艳
深圳市第二人民医院
深圳市第二人民医院肿瘤内科主任医师
广东省抗癌协会大肠癌专业委员会委员
深圳市医学会肿瘤专业委员会委员
深圳市医学会健康管理协会常委
深圳市医师协会精准医学分会理事
深圳市抗癌协会化疗委员会委员
深圳市抗癌协会胃癌专业委员会委员
点评内容
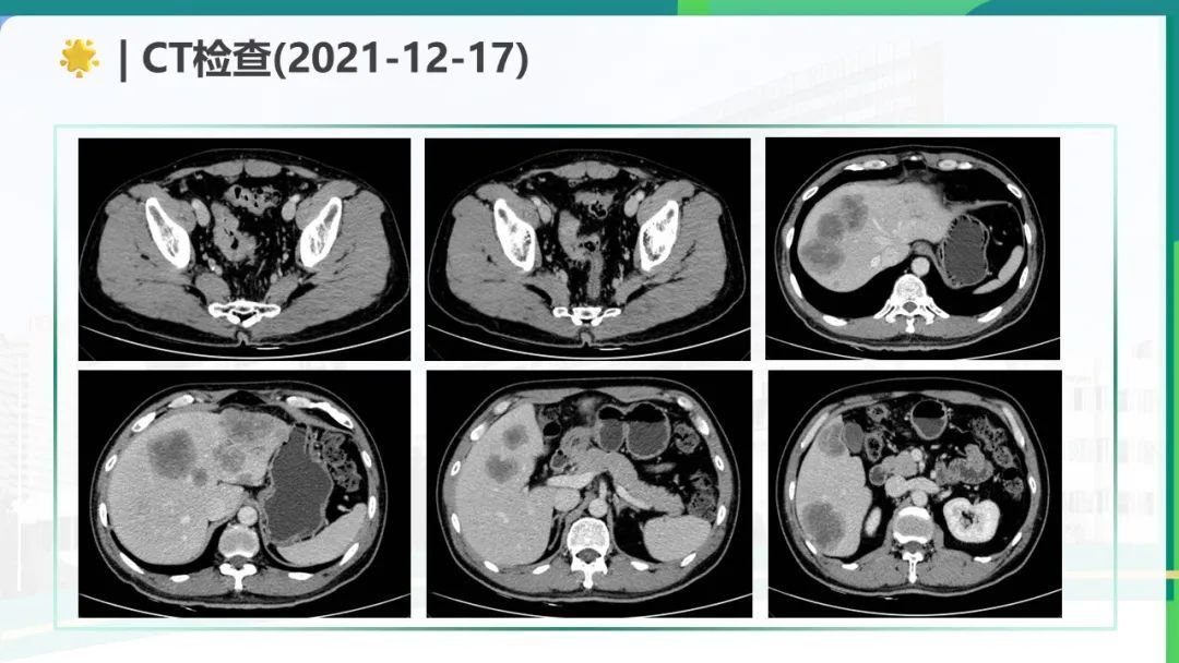
这篇直肠腺癌伴肝转移的MDT病例展示了规范化诊疗流程与多学科协作的重要性,同时也反映了晚期肿瘤治疗的复杂性。1. 初始评估与治疗目标明确性:病例通过肠镜、病理、影像学及基因检测完成了精准分期(cT3cN2M1a IVa期),并基于KRAS突变状态排除了抗EGFR治疗可能。MDT团队在初始不可切除状态下确立了"转化治疗+争取NED"的目标,符合ESMO指南推荐,体现了对治疗预后的科学判断。2. 转化治疗的方案选择与疗效:采用FOLFOXIRI三药化疗联合贝伐珠单抗是高风险结直肠癌转化的标准方案。影像学显示肝转移灶从最大45mm缩小至18mm,直肠壁厚度显著改善,肿瘤标志物CEA从376降至正常范围,证明该方案的高效性。但需注意三药方案的毒性管理(如骨髓抑制、神经毒性)。3. 手术策略的创新性:达芬奇机器人辅助手术实现超低位保肛(距肛门3cm),同时术中超声发现MRI未检出的DLM病灶并完整切除,体现了技术进步对手术精准度的提升。肝转移灶采用"切除+消融"组合策略,符合ESMO对寡转移灶局部治疗的推荐。4. 复发后的全程管理:尽管经历多次进展,团队始终尝试通过更换化疗方案(mFOLFOX6、XELIRI)、局部消融及靶向治疗(呋喹替尼)维持NED状态。二线治疗耐受性差可能提示需要更早引入免疫治疗(如MSI检测阴性后考虑PD-1抑制剂)或参与临床试验。该病例成功的关键在于:规范的MDT决策、积极的转化治疗、精准的手术干预及动态的复发管理,为类似患者提供了有价值的诊疗参考。
病例点评
点评嘉宾
柯彩屏
茂名市人民医院
茂名市人民医院肿瘤科副主任医师
广东省基层医药学会肺癌专业委员会委员
广东省基层医药学会肝癌防治专业委员粤西地区委员会委员
广州抗癌协会粤西肿瘤分会委员
广东省临床医学学会肿瘤学专业委员会委员
茂名市医学会肿瘤分会委员
茂名市医学会放射肿瘤学分会第一届委员会委员
茂名市医学会肿瘤化疗与生物治疗医学分会委员
点评内容
该病例中,男,55岁,患者主诉大便性状改变3月余,检查发现肝占位1天。经过一系列的检查,诊断为直肠腺癌并肝转移 cTxN2M1(肝) IV期 RAS野生型 MSS,经过邓权通专家规范治疗,该患者的症状明显改善,疾病的病程也得到了控制。在RAS/BRAF野生型转移性结直肠癌(mCRC)患者中,西妥昔单抗联合FOLFOXIRI(奥沙利铂+伊立替康+氣尿嘧啶)相比单纯化疗方案(如FOLFOX或FOLFIRI),可显著延长无进展生存期(PFS)和总生存期(OS)。肝转移转化治疗:中国FOCULM研究证实,改良FOLFOXIRI联合西妥昔单抗可将RAS/BRAF野生型结直肠癌肝转移患者的无疾病证据(NED)转化率显著提高,为初始不可切除患者创造手术机会。
免责声明:本平台发布内容仅代表作者观点,本平台不对所包含内容的准确性、可靠性或完善性提供任何明示或暗示的保证,仅供读者参考,本公众平台将不承担任何责任。图文版权归原作者所有,如有侵权,请联系删除。
欢迎向《现代医院》杂志投稿
投稿请登陆网站http://xdyu.cbpt.cnki.net
请点击下方关注《现代医院》杂志公众号
征订单:《现代医院》征订单.pdf 星速优配
尚竞配资提示:文章来自网络,不代表本站观点。